不正咬合の種類
- HOME
- 不正咬合の種類
不正咬合(悪い歯並び)はいくつかの種類に分類できます。
矯正治療をお考えのあなたはどのタイプに入りますか?
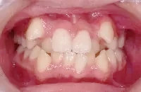
叢生(乱杭歯、八重歯、凸凹)

叢生(そうせい)とはあごの大きさに比べ歯が大きいことが原因で、歯並びが凸凹になったり重なり合ったりしている状態を言います。
歯ブラシもしにくいため、虫歯や歯周病になるリスクも高いと言えます。
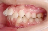
上顎前突(出っ歯)

上顎前突(じょうがくぜんとつ)とは、上の前歯が強く前に傾斜していたり、上あごの歯全体が前に出ていたりする状態を言います。
前歯の角度異常や上あごの過成長、下あごの成長不足、また幼少期の指しゃぶりなどの癖も原因となります。
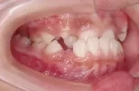
下顎前突(反対咬合、受け口、しゃくれ)

下顎前突(かがくぜんとつ)とは、下の歯が上の歯より前に出ている状態を言います。
お子様ですと今後のあごの成長に大きく影響を及ぼします。骨格的に下あごの過成長が著しい場合には、外科矯正治療の適用となる場合もあります。
開咬(オープンバイト)

開咬(かいこう)とは、前歯が開いてしまい、歯が上下で噛み合いません。子どものころの指しゃぶりや舌を突き出す癖、口呼吸などが原因となります。
前歯で物を噛み切れません。
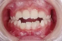
過蓋咬合

過蓋咬合(かがいこうごう)とは、上の歯と下の歯の重なりが深い状態の歯並びを言います。
下の前歯が見えないほど深く咬み込んでいます。あごの関節に負担がかかり易く、顎関節症などの原因になることもあります。
空隙歯列(すきっ歯)

空隙歯列(くうげきしれつ)とは、あごの大きさに比べ歯が小さいために、すきまだらけの歯並びを言います。審美的な要因や発音障害などで治療を望まれる方もいらっしゃいます。